症例種別
消化器・口腔(5~6件表示/全9件中)
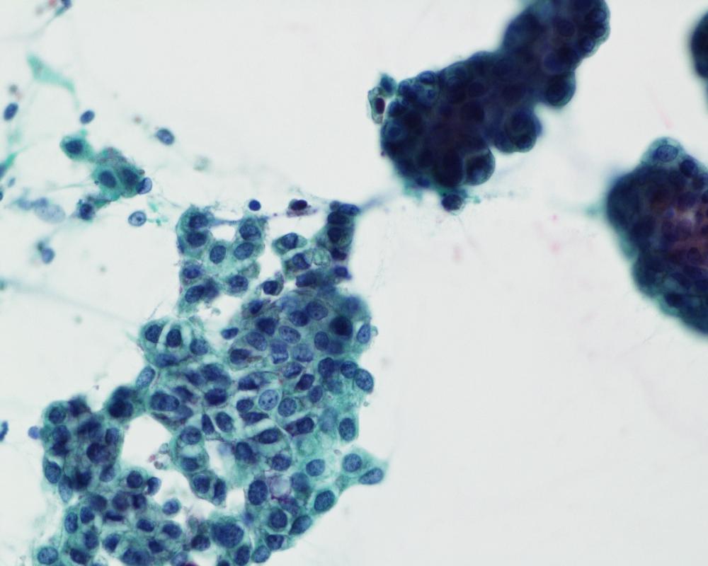
第36回日本臨床細胞学会九州連合会学会(大分)スライドカンファレンス症例5
種別:消化器・口腔
出題:九州歯科大学 健康増進学講座 口腔病態病理学分野 矢田 直美
| 年齢 | 70歳代 | 性別 | 男性 |
|---|---|---|---|
| 採取部位 | 口底部 | 採取方法 | 歯間ブラシ擦過 |
| 検体処理法 | 従来法,LBC法 (ThinPrep) |
臨床所見
既往歴:前立腺癌(10年前),高血圧症,逆流性食道炎
現病歴:かかりつけ内科医に口底部腫瘤を指摘され受診となった。初診時,舌下小丘すぐ横に10×10mmの軽度硬結を触れる腫瘤を認めたため,擦過細胞診が行われた。
| 正解 | 3.類基底扁平上皮癌 |
|---|
▼選択肢及び投票結果
| 1.上皮内癌 | 1件 | (1.6%) | |
|---|---|---|---|
| 2.高分化型扁平上皮癌 | 7件 | (10.9%) | |
| 3.類基底扁平上皮癌 | 36件 | (56.2%) | |
| 4.粘表皮癌 | 14件 | (21.9%) | |
| 5.腺癌 (前立腺癌の転移) | 6件 | (9.4%) | |
| 投票総数 | 64件 | (100%) |
第38回日本臨床細胞学会九州連合会学会(熊本)スライドカンファレンス症例3
種別:消化器・口腔
出題:甲斐 敬太 佐賀大学医学部附属病院病理部
| 年齢 | 60代 | 性別 | 男性 |
|---|---|---|---|
| 採取部位 | 胆汁 | 採取方法 | 経皮経肝胆道ドレナージ |
| 検体処理法 |
臨床所見
既往歴:潰瘍性大腸炎治療中。
現病歴:難治性の十二指腸潰瘍を合併し、通過障害をきたしていた。閉塞性黄疸が出現し、精査で原発性硬化性
胆管炎が疑われた。減黄目的に経皮経肝胆道ドレナージが行われ、胆汁が提出された。なお、狭窄部の
胆管と十二指腸潰瘍部から生検が行われたが、悪性所見は指摘できなかった。
| 正解 | 5.腺癌 |
|---|
▼選択肢及び投票結果
| 1.急性胆管炎 (反応性異型) | 1件 | (1.0%) | |
|---|---|---|---|
| 2.原発性硬化性胆管炎 (反応性異型) | 25件 | (24.0%) | |
| 3.Low-grade BilIN | 31件 | (29.8%) | |
| 4.Low-grade IPNB | 19件 | (18.3%) | |
| 5.腺癌 | 28件 | (26.9%) | |
| 投票総数 | 104件 | (100%) |


















