症例種別
消化器・口腔(0~2件表示/全9件中)
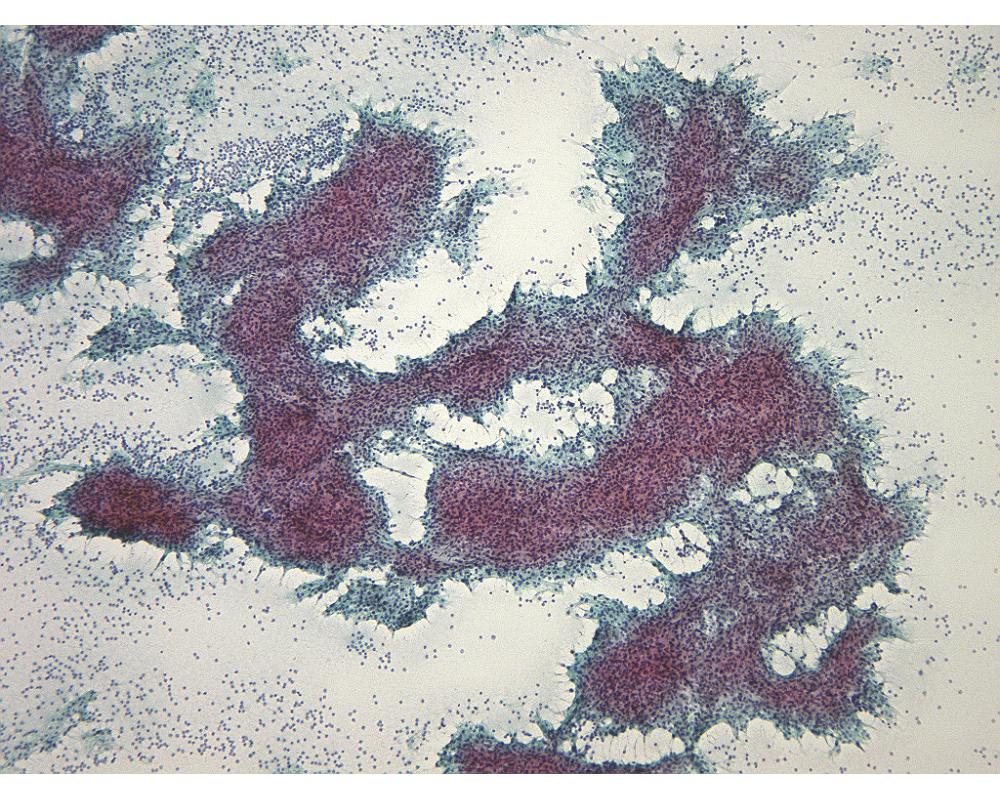
第32回日本臨床細胞学会九州連合会学会病理細胞診断セミナー(スライドカンファレンス)症例 3
種別:消化器・口腔
出題:大分赤十字病院 米増 博俊 先生
| 年齢 | 40歳代 | 性別 | 男性 |
|---|---|---|---|
| 採取部位 | 膵頭部 | 採取方法 | EUS-FNA(22G針) |
| 検体処理法 |
臨床所見
既往歴 特記事項なし
現病歴 近医健診CTにて23mm大の膵頭部腫瘤を指摘され、精査加療目的にて当院紹介受診。
膵頭部腫瘤に対しEUS-FNAが施行された。
| 正解 | 3.Neuroendocrine tumor, G1 or G2 (NET) |
|---|
▼選択肢及び投票結果
| 1.悪性リンパ腫 | 0件 | (0.0%) | |
|---|---|---|---|
| 2.Solid-pseudopapillary neoplasm (SPN) | 7件 | (15.6%) | |
| 3.Neuroendocrine tumor, G1 or G2 (NET) | 29件 | (64.4%) | |
| 4.Neuroendocrine carcinoma (NEC) | 5件 | (11.1%) | |
| 5.腺房細胞癌 | 4件 | (8.9%) | |
| 投票総数 | 45件 | (100%) |
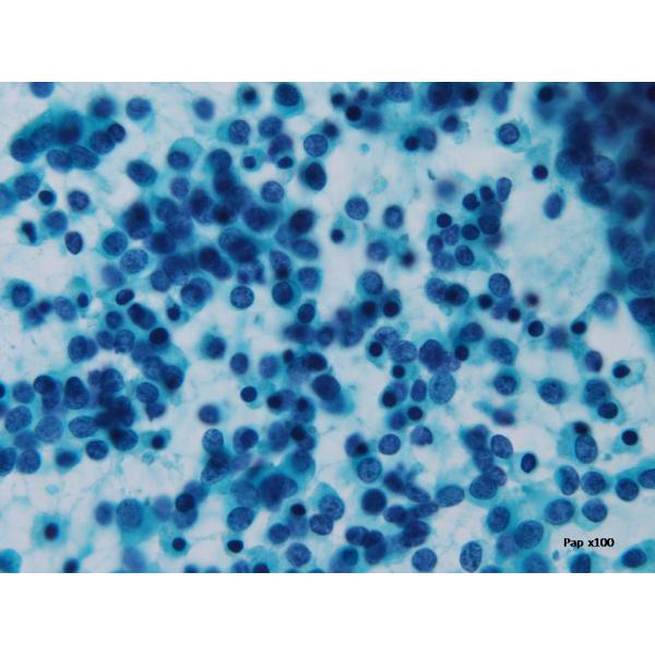
第33回日本臨床細胞学会九州連合会学会(沖縄)スライドカンファレンス症例 4
種別:消化器・口腔
出題:九州大学病理診断科・病理部 山元 英崇 先生
| 年齢 | 58歳 | 性別 | 女性 |
|---|---|---|---|
| 採取部位 | 耳下腺 | 採取方法 | 穿刺吸引細胞診 |
| 検体処理法 |
臨床所見
左耳下部に腫瘤を自覚し、来院。画像検査にて径2cmの充実性腫瘤あり。FNACの後、左耳下腺浅葉切除が施行された。
| 正解 | 2.腺房細胞癌 |
|---|
▼選択肢及び投票結果
| 1.ワルチン腫瘍 | 18件 | (12.9%) | |
|---|---|---|---|
| 2.腺房細胞癌 | 57件 | (41.0%) | |
| 3.分泌癌(乳腺相似分泌癌) | 23件 | (16.5%) | |
| 4.オンコサイトーマ | 37件 | (26.6%) | |
| 5.正常唾液腺組織 | 4件 | (2.9%) | |
| 投票総数 | 139件 | (100%) |















