症例種別
体腔液(3~3件表示/全3件中)
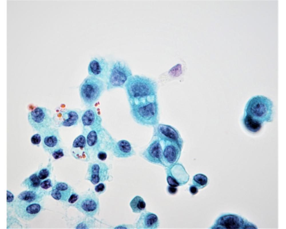
第38回日本臨床細胞学会九州連合会学会(熊本)スライドカンファレンス症例5
種別:体腔液
出題:和田 純平 大分県立病院臨床検査科病理部
| 年齢 | 50代 | 性別 | 女性 |
|---|---|---|---|
| 採取部位 | 胸水 | 採取方法 | 穿刺 |
| 検体処理法 |
臨床所見
既往歴:10年以上前に、腹部腫瘍の手術歴がある。
現病歴:X-10年に、胸水貯留の精査過程で腫瘍が認められ、現在まで化学療法を継続中である。直近の、胸水穿
刺吸引検体より作製された標本を提示する。
| 正解 | 5.高分化乳頭状中皮腫 |
|---|
▼選択肢及び投票結果
| 1.反応性中皮過形成 | 25件 | (24.0%) | |
|---|---|---|---|
| 2.腺癌 | 18件 | (17.3%) | |
| 3.扁平上皮癌 | 0件 | (0.0%) | |
| 4.上皮型悪性中皮腫 | 30件 | (28.8%) | |
| 5.高分化乳頭状中皮腫 | 31件 | (29.8%) | |
| 投票総数 | 104件 | (100%) |











