症例種別
呼吸器(5~6件表示/全10件中)
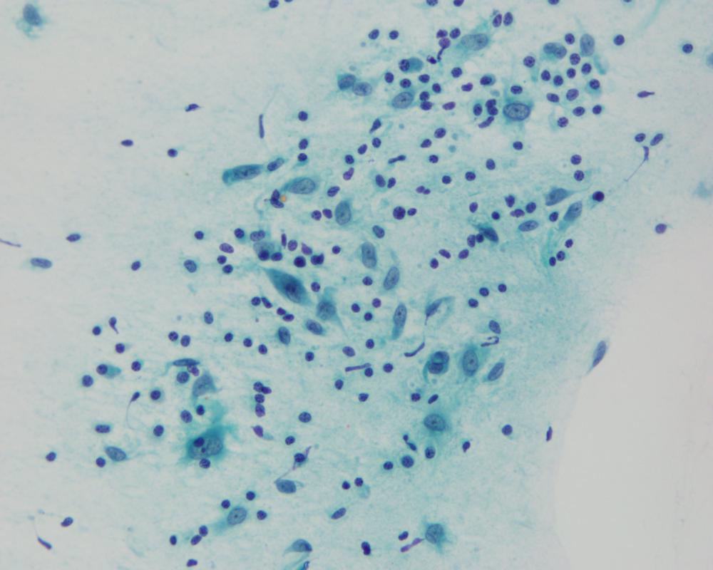
第35回日本臨床細胞学会九州連合会学会(宮崎)スライドカンファレンス症例3
種別:呼吸器
出題:福岡大学病院 病理部・病理診断科 濵﨑 慎 先生
| 年齢 | 80歳代 | 性別 | 男性 |
|---|---|---|---|
| 採取部位 | 左肺下葉 | 採取方法 | 腫瘍捺印細胞診 |
| 検体処理法 |
臨床所見
既 往 歴:労作性狭心症(バイパス術後)、高血圧症、高脂血症
生 活 歴:喫煙40本/日×49年
現 病 歴:労作性狭心症(バイパス術後)のフォロー中に貧血を指摘、精査中に左肺下葉に腫瘤を認め、確定診断目的で切除の方針となった。
| 正解 | 2.腺癌 |
|---|
▼選択肢及び投票結果
| 1.扁平上皮癌 | 8件 | (8.2%) | |
|---|---|---|---|
| 2.腺癌 | 39件 | (40.2%) | |
| 3.大細胞神経内分泌癌 | 27件 | (27.8%) | |
| 4.悪性胸膜中皮腫 | 6件 | (6.2%) | |
| 5.悪性黒色腫 | 17件 | (17.5%) | |
| 投票総数 | 97件 | (100%) |
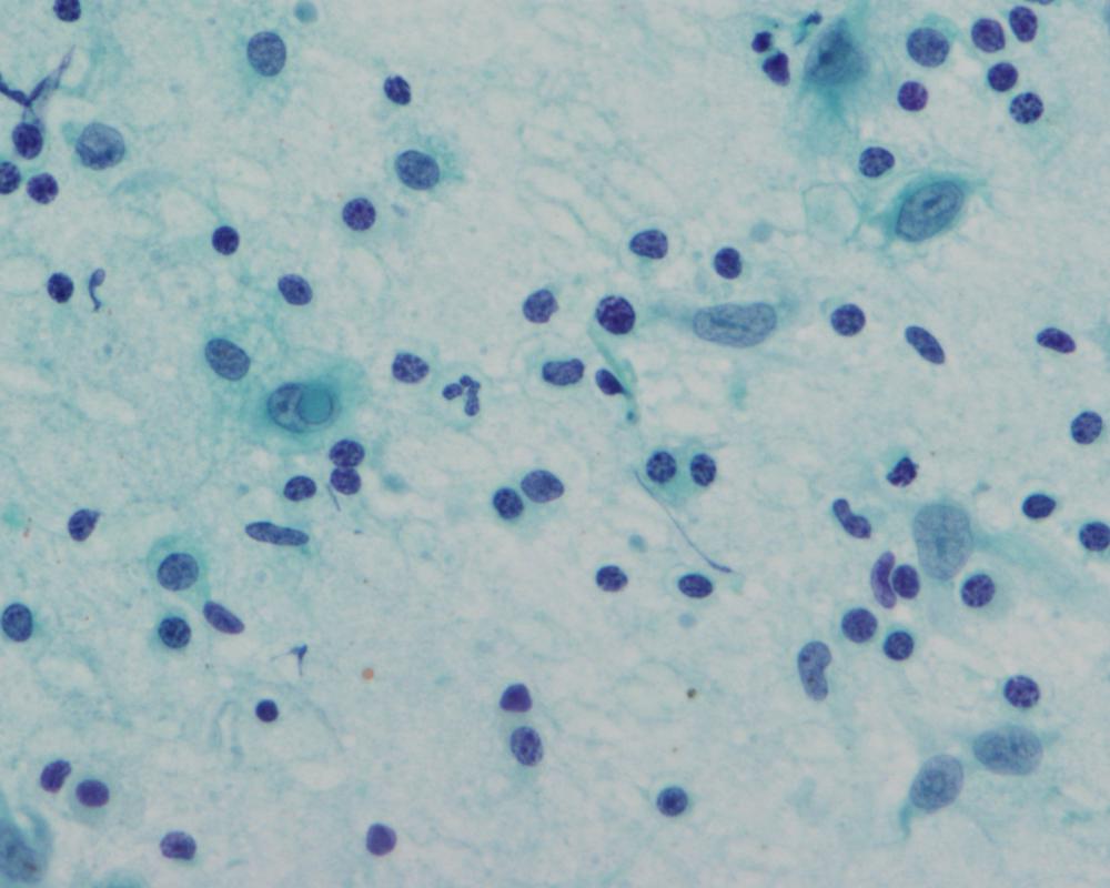
第36回日本臨床細胞学会九州連合会学会(大分)スライドカンファレンス症例2
種別:呼吸器
出題:長崎大学大学院医歯薬学総合研究科 病理学 林 洋子
| 年齢 | 60代 | 性別 | 男性 |
|---|---|---|---|
| 採取部位 | 肺 | 採取方法 | 術中穿刺 |
| 検体処理法 | 直接塗抹 |
臨床所見
【既往歴】 2年前に肺腺癌にて左上葉切除術後
【現病歴】 術後経過観察目的の胸部CTにて右肺下葉S9に、径15mm大の結節を認めた。1年前のCTでは径6mm大であり、増大傾向が認められた。画像的に、転移よりは他の原発性肺腫瘍が疑われた。
| 正解 | 5.炎症性線維芽細胞性腫瘍 |
|---|
▼選択肢及び投票結果
| 1.腺癌 | 1件 | (1.6%) | |
|---|---|---|---|
| 2.扁平上皮癌 | 1件 | (1.6%) | |
| 3.肉腫様癌 | 10件 | (15.6%) | |
| 4.カルチノイド | 0件 | (0.0%) | |
| 5.炎症性線維芽細胞性腫瘍 | 52件 | (81.2%) | |
| 投票総数 | 64件 | (100%) |


















