症例種別
婦人科(5~6件表示/全10件中)
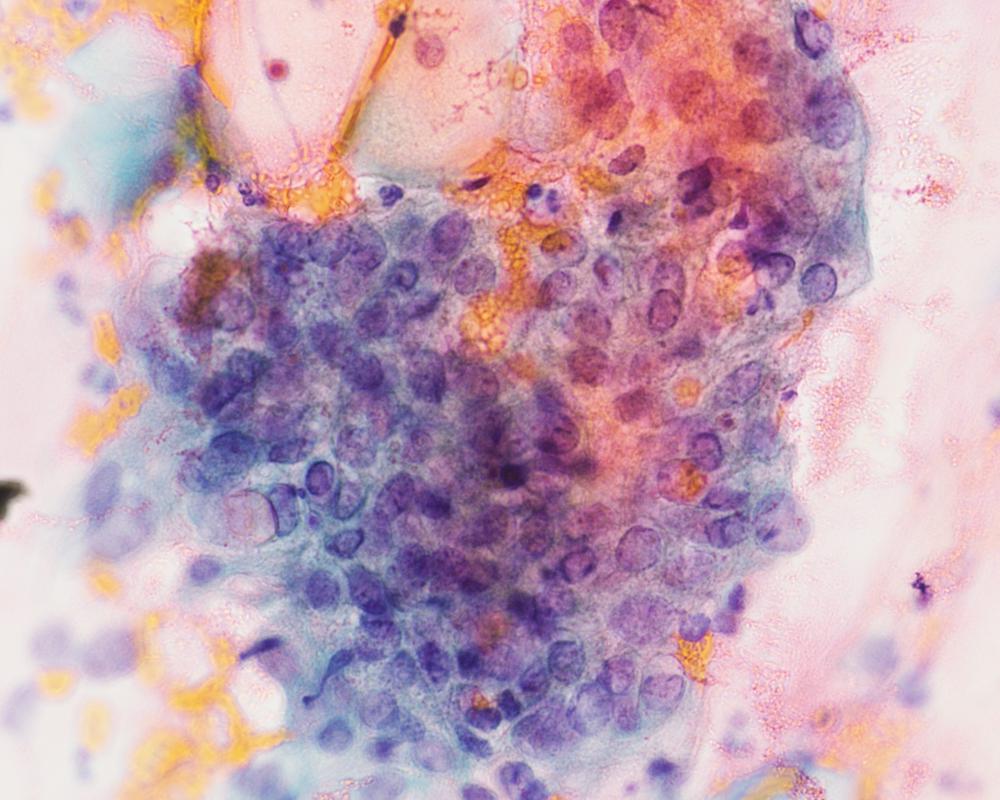
第35回日本臨床細胞学会九州連合会学会(宮崎)スライドカンファレンス症例4
種別:婦人科
出題:熊本大学病院 病理診断科・病理部 佐野直樹 先生
| 年齢 | 60歳代 | 性別 | 女性 |
|---|---|---|---|
| 採取部位 | 子宮頸部 | 採取方法 | 擦過 |
| 検体処理法 | 従来法 |
臨床所見
既 往 歴:糖尿病、脂質異常症
現 病 歴:4年前に帯下の増加を自覚し受診し、子宮頸部細胞診でNILMの判定。今回、下腹部痛を主訴に受診し、腟鏡診では病変は不明瞭だったが、双合診で子宮頸部全体に硬結あり。
| 正解 | 5.胃型粘液性癌 |
|---|
▼選択肢及び投票結果
| 1.化生細胞および修復細胞 | 3件 | (3.1%) | |
|---|---|---|---|
| 2.重層性粘液産生上皮内病変(SMILE) | 38件 | (39.2%) | |
| 3.通常型腺癌 | 10件 | (10.3%) | |
| 4.明細胞癌 | 26件 | (26.8%) | |
| 5.胃型粘液性癌 | 20件 | (20.6%) | |
| 投票総数 | 97件 | (100%) |
第36回日本臨床細胞学会九州連合会学会(大分)スライドカンファレンス症例1
種別:婦人科
出題:熊本大学病院 病理部・病理診断科 塩田 拓也
| 年齢 | 40代 | 性別 | 女性 |
|---|---|---|---|
| 採取部位 | 子宮頸部 | 採取方法 | 擦過 |
| 検体処理法 | 従来法 |
臨床所見
既往歴:薬剤アレルギー(Stevens Johnson症候群疑い)、尾てい骨骨折、高血圧症
現病歴:筋腫分娩が疑われ、診断・治療目的で当院紹介受診となった。
| 正解 | 5.腺扁平上皮癌 |
|---|
▼選択肢及び投票結果
| 1.高度扁平上皮内病変(HSIL) | 0件 | (0.0%) | |
|---|---|---|---|
| 2.上皮内腺癌(AIS) | 5件 | (7.8%) | |
| 3.重層性粘液産生上皮内病変(SMILE) | 50件 | (78.1%) | |
| 4.腺癌 | 5件 | (7.8%) | |
| 5.腺扁平上皮癌 | 4件 | (6.2%) | |
| 投票総数 | 64件 | (100%) |




















